症例集
Case record
治療症例
Clinical cases
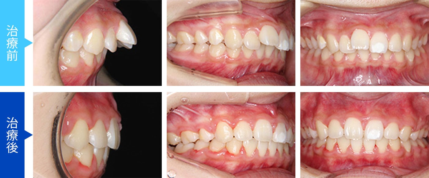
① 叢生
| 主訴 | 歯並びが悪いのが気になる |
|---|---|
| 診断名 | 叢生 |
| 初診時年齢 | 14歳 7か月 |
| 使用装置 | マルチブラケット装置 |
| 抜歯部位 | 小臼歯2本を抜歯して治療(上顎両側第二小臼歯) |
| 治療期間 | 2年 3か月 |
| 治療費 | 初回検査料30,000円+税、診断料20,000円+税、施術料500,000円+税 |
| リスク・副作用 | 歯肉退縮、歯根吸収、う蝕 |
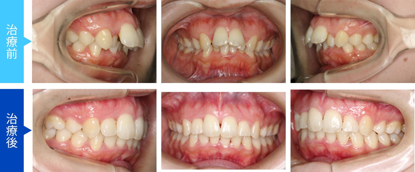
② 正中線の偏位を伴った叢生
| 主訴 | 歯並びのデコボコが気になる |
|---|---|
| 診断名 | 正中線の偏位を伴った叢生 |
| 初診時年齢 | 14歳 10か月 |
| 使用装置 | マルチブラケット装置 |
| 抜歯部位 | 小臼歯2本を抜歯して治療(上顎右側第一小臼歯、上顎左側第二小臼歯) |
| 治療期間 | 2年 4か月 |
| 治療費 | 初回検査料30,000円+税、診断料20,000円+税、施術料500,000円+税 |
| リスク・副作用 | 歯肉退縮、歯根吸収、う蝕 |
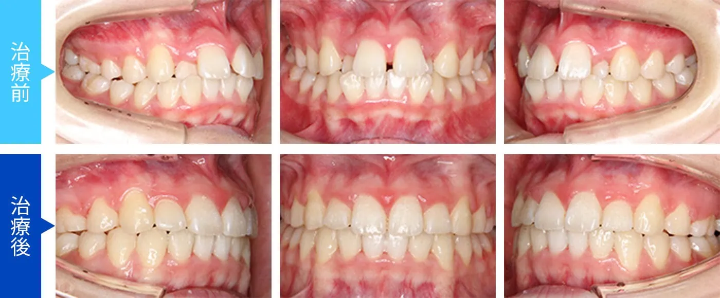
③ 叢生を伴った反対咬合
| 主訴 | 前歯の咬み合せが反対 |
|---|---|
| 診断名 | 叢生を伴った反対咬合 |
| 初診時年齢 | 13歳 0か月 |
| 使用装置 | 急速拡大装置、マルチブラケット装置 |
| 抜歯部位 | 非抜歯で治療 |
| 治療期間 | 4年 1か月 |
| 治療費 | 初回検査料30,000円+税、診断料20,000円+税、施術料500,000円+税 |
| リスク・副作用 | 歯肉退縮、歯根吸収、う蝕 |
④ 叢生
| 主訴 | 歯並びのデコボコが気になる |
|---|---|
| 診断名 | 叢生 |
| 初診時年齢 | 14歳 1か月 |
| 使用装置 | マルチブラケット装置、歯科矯正用アンカースクリュー |
| 抜歯部位 | 小臼歯2本を抜歯して治療(上顎右側第二小臼歯、上顎左側第一小臼歯) |
| 治療期間 | 2年 9か月 |
| 治療費 | 初回検査料30,000円+税、診断料20,000円+税、施術料500,000円+税 |
| リスク・副作用 | 歯肉退縮、歯根吸収、う蝕 |
⑤ 叢生および正中線の偏位を伴った上下顎前突
| 主訴 | 歯並びが悪いのが気になる |
|---|---|
| 診断名 | 叢生および正中線の偏位を伴った上下顎前突 |
| 初診時年齢 | 17歳 5か月 |
| 使用装置 | マルチブラケット装置、歯科矯正用アンカースクリュー |
| 抜歯部位 | 小臼歯4本を抜歯して治療(上顎両側第一小臼歯、下顎両側第二小臼歯) |
| 治療期間 | 2年 2か月 |
| 治療費 | 初回検査料30,000円+税、診断料20,000円+税、施術料500,000円+税 |
| リスク・副作用 | 歯肉退縮、歯根吸収、う蝕 |
⑥ 叢生を伴った上下顎前突
| 主訴 | 歯並びが悪いのが気になる |
|---|---|
| 診断名 | 叢生を伴った上下顎前突 |
| 初診時年齢 | 14歳 6か月 |
| 使用装置 | マルチブラケット装置、歯科矯正用アンカースクリュー |
| 抜歯部位 | 小臼歯4本を抜歯して治療(上下顎両側第一小臼歯) |
| 治療期間 | 2年 3か月 |
| 治療費 | 初回検査料30,000円+税、診断料20,000円+税、施術料500,000円+税 |
| リスク・副作用 | 歯肉退縮、歯根吸収、う蝕 |
⑦ 叢生
| 主訴 | 歯並びのデコボコが気になる |
|---|---|
| 診断名 | 叢生 |
| 初診時年齢 | 14歳 8か月 |
| 使用装置 | マルチブラケット装置、トランスパラタルアーチ |
| 抜歯部位 | 小臼歯4本を抜歯して治療 (上顎両側第一小臼歯、下顎右側第一小臼歯、下顎左側第二小臼歯) |
| 治療期間 | 2年 6か月 |
| 治療費 | 初回検査料30,000円+税、診断料20,000円+税、施術料500,000円+税 |
| リスク・副作用 | 歯肉退縮、歯根吸収、う蝕 |
⑧ 叢生
| 主訴 | 歯並びが気になる |
|---|---|
| 診断名 | 叢生 |
| 初診時年齢 | 13歳 3か月 |
| 使用装置 | マルチブラケット装置、トランスパラタルアーチ |
| 抜歯部位 | 小臼歯4本を抜歯して治療(上下顎両側第一小臼歯) |
| 治療期間 | 2年 3か月 |
| 治療費 | 初回検査料30,000円+税、診断料20,000円+税、施術料500,000円+税 |
| リスク・副作用 | 歯肉退縮、歯根吸収、う蝕 |
⑨ 叢生
| 主訴 | 歯並びが悪いのが気になる、デコボコが気になる |
|---|---|
| 診断名 | 叢生 |
| 初診時年齢 | 14歳 3か月 |
| 使用装置 | マルチブラケット装置、トランスパラタルアーチ |
| 抜歯部位 | 小臼歯4本を抜歯して治療(上顎両側第一小臼歯、下顎両側第二小臼歯) |
| 治療期間 | 2年 6か月 |
| 治療費 | 初回検査料30,000円+税、診断料20,000円+税、施術料500,000円+税 |
| リスク・副作用 | 歯肉退縮、歯根吸収、う蝕 |
⑩ 叢生を伴った開咬
| 主訴 | 前歯で食べ物が噛めない、歯並びのデコボコが気になる |
|---|---|
| 診断名 | 叢生を伴った開咬 |
| 初診時年齢 | 16歳 2か月 |
| 使用装置 | マルチブラケット装置、トランスパラタルアーチ |
| 抜歯部位 | 小臼歯4本を抜歯して治療(上顎両側第一小臼歯、下顎両側第二小臼歯) |
| 治療期間 | 2年 2か月 |
| 治療費 | 初回検査料30,000円+税、診断料20,000円+税、施術料500,000円+税 |
| リスク・副作用 | 歯肉退縮、歯根吸収、う蝕 |
⑪ 上顎前突
| 主訴 | 上の前歯が出ているのが気になる |
|---|---|
| 診断名 | 上顎前突 |
| 初診時年齢 | 16歳 3か月 |
| 使用装置 | マルチブラケット装置、歯科矯正用アンカースクリュー |
| 抜歯部位 | 小臼歯2本を抜歯して治療(上顎両側第一小臼歯) |
| 治療期間 | 2年 2か月 |
| 治療費 | 初回検査料30,000円+税、診断料20,000円+税、施術料500,000円+税 |
| リスク・副作用 | 歯肉退縮、歯根吸収、う蝕 |
⑫ 叢生を伴った上顎前突
| 主訴 | 歯並びの悪いのが気になる、前歯が出ているのが気になる |
|---|---|
| 診断名 | 叢生を伴った上顎前突 |
| 初診時年齢 | 14歳 1か月 |
| 使用装置 | マルチブラケット装置、トランスパラタルアーチ |
| 抜歯部位 | 小臼歯2本を抜歯して治療(上顎両側第一小臼歯) |
| 治療期間 | 2年 1か月 |
| 治療費 | 初回検査料30,000円+税、診断料20,000円+税、施術料500,000円+税 |
| リスク・副作用 | 歯肉退縮、歯根吸収、う蝕 |
⑬ 上顎前突
| 主訴 | 上の前歯が出ているのが気になる |
|---|---|
| 診断名 | 上顎前突 |
| 初診時年齢 | 18歳 5か月 |
| 使用装置 | マルチブラケット装置、歯科矯正用アンカースクリュー |
| 抜歯部位 | 小臼歯2本を抜歯して治療(上顎両側第一小臼歯) |
| 治療期間 | 3年 0か月 |
| 治療費 | 初回検査料30,000円+税、診断料20,000円+税、施術料500,000円+税 |
| リスク・副作用 | 歯肉退縮、歯根吸収、う蝕 |
⑭ 叢生を伴った上顎前突
| 主訴 | 上の前歯が出ている、歯並びがデコボコしているのが気になる |
|---|---|
| 診断名 | 叢生を伴った上顎前突 |
| 初診時年齢 | 29歳 4か月 |
| 使用装置 | マルチブラケット装置、歯科矯正用アンカースクリュー |
| 抜歯部位 | 小臼歯2本を抜歯して治療(上顎両側第一小臼歯) |
| 治療期間 | 2年 8か月 |
| 治療費 | 初回検査料30,000円+税、診断料20,000円+税、施術料500,000円+税 |
| リスク・副作用 | 歯肉退縮、歯根吸収、う蝕 |
⑮ 叢⽣
| 主訴 | 歯並びがデコボコしているのが気になる |
|---|---|
| 診断名 | 叢生 |
| 初診時年齢 | 13歳 3か月 |
| 使用装置 | マルチブラケット装置 |
| 抜歯部位 | 小臼歯2本を抜歯して治療(上顎両側第一小臼歯) |
| 治療期間 | 2年 6か月 |
| 治療費 | 初回検査料30,000円+税、診断料20,000円+税、施術料480,000円+税 |
| リスク・副作用 | 歯肉退縮、歯根吸収、う蝕 |
⑯ 正中線の偏位を伴った叢生
| 主訴 | 歯並びのデコボコが気になる |
|---|---|
| 診断名 | 正中線の偏位を伴った叢生 |
| 初診時年齢 | 13歳 11か月 |
| 使用装置 | マルチブラケット装置、歯科矯正用アンカースクリュー |
| 抜歯部位 | 小臼歯2本を抜歯して治療(上顎両側第一小臼歯) |
| 治療期間 | 2年 3か月 |
| 治療費 | 初回検査料30,000円+税、診断料20,000円+税、施術料500,000円+税 |
| リスク・副作用 | 歯肉退縮、歯根吸収、う蝕 |
⑰ 正中線の偏位を伴った叢生
| 主訴 | 歯並びが悪いのが気になる、八重歯が気になる |
|---|---|
| 診断名 | 正中線の偏位を伴った叢生 |
| 初診時年齢 | 15歳 2か月 |
| 使用装置 | マルチブラケット装置、歯科矯正用アンカースクリュー |
| 抜歯部位 | 小臼歯4本を抜歯して治療(上下顎両側第一小臼歯) |
| 治療期間 | 2年 6か月 |
| 治療費 | 初回検査料30,000円+税、診断料20,000円+税、施術料480,000円+税 |
| リスク・副作用 | 歯肉退縮、歯根吸収、う蝕 |